Current Patients:
484-957-5580
New Patients Call:
484-917-2734

3100 Emrick Boulevard, Ste 140
Bethlehem, PA 18020

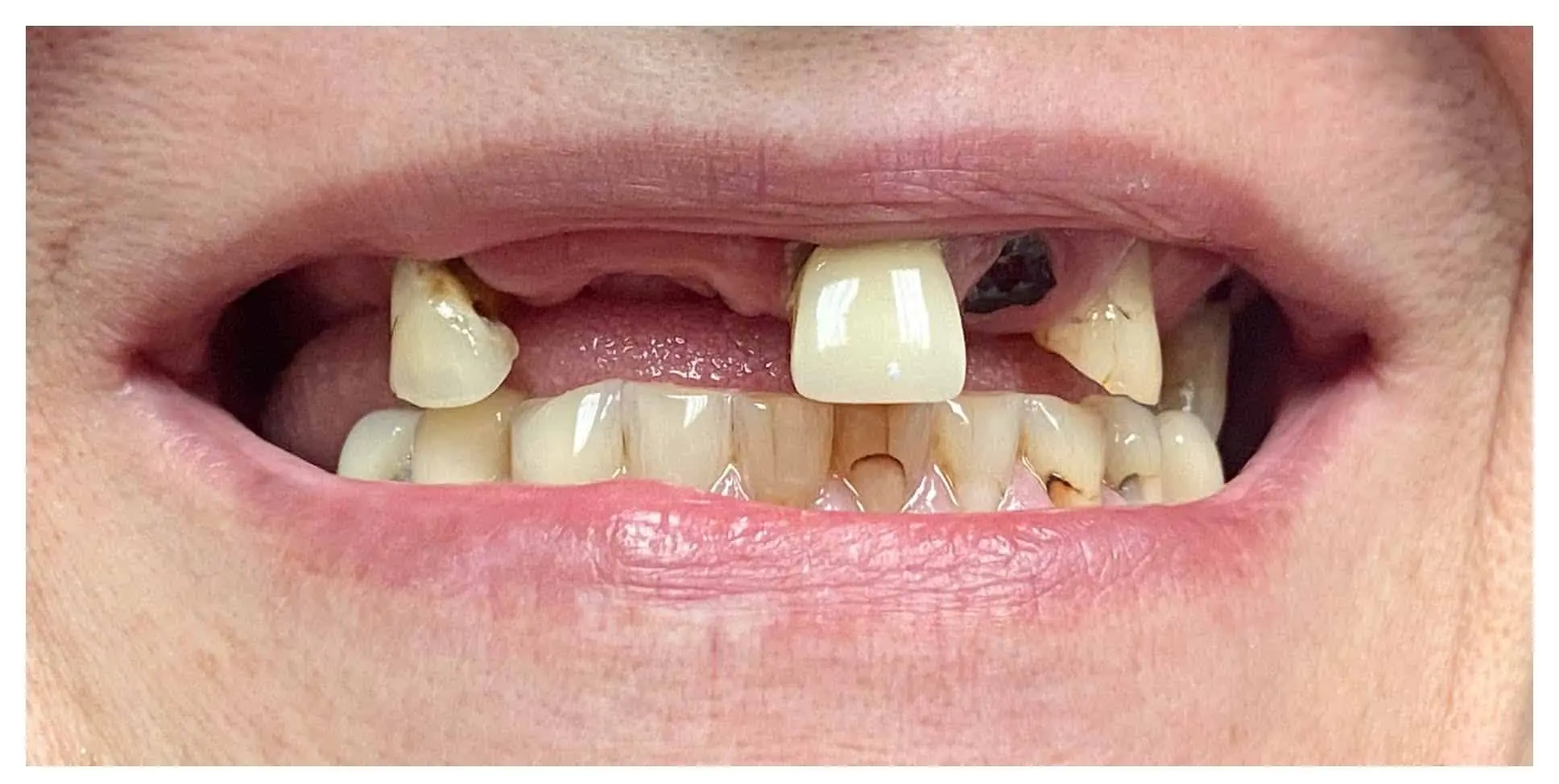
See The Results!

Photo-1-Before-2Photo-1-After-2
Photo-2-Before-2Photo-2-After-2
Photo-3-Before-1Photo-3-After-2
Image-3-BeforeImage-3-After
Image-2-BeforeImage-2-After
Image-1-Before (1)Image-1-After (1)